¿Expansor palatino Invisalign? Sí, existe. Y en la Clínica Dental Dentinos de Teatinos, Málaga, la Dra. Ana Fernández-Cavada lo realiza. La expansión del paladar ya no requiere obligatoriamente un aparato metálico fijo: hoy es posible planificarla de forma digital con Invisalign.
Qué es el expansor palatino Invisalign y para qué sirve
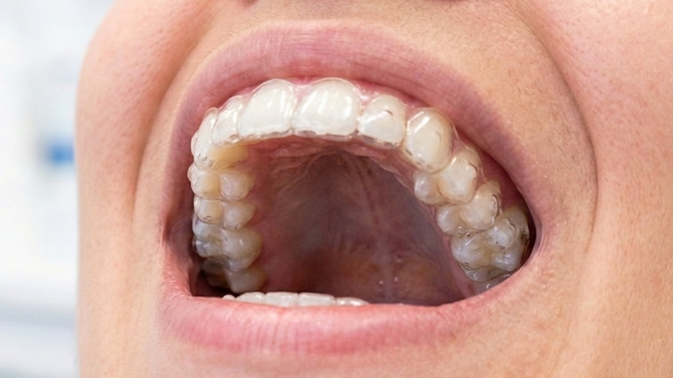
El expansor palatino Invisalign es una solución ortodóncica que permite ampliar el maxilar superior de forma progresiva mediante alineadores transparentes, sin necesidad de colocar un disyuntor metálico fijo en el paladar.
El objetivo es el mismo que el del disyuntor tradicional: abrir la sutura palatina media para ganar espacio en el arco dental superior. Con el expansor palatino Invisalign, la fuerza se aplica de forma controlada a través de alineadores diseñados digitalmente para cada caso.
Según la Sociedad Española de Ortodoncia (SEDO), los tratamientos de expansión maxilar han evolucionado significativamente con la incorporación de herramientas digitales en la planificación ortodóncica.
Expansor palatino Invisalign vs disyuntor tradicional: 4 diferencias clave
1. Sin aparato metálico fijo. El disyuntor convencional es un aparato cementado en el paladar que no se puede quitar. El expansor palatino Invisalign funciona con alineadores extraíbles, lo que facilita la higiene y mejora la comodidad en el día a día.
2. Planificación digital previa. Con Invisalign, el movimiento de expansión se planifica en 3D antes de empezar. La doctora y el paciente pueden ver el resultado previsto antes de fabricar el primer alineador.
3. Mayor aceptación en niños y adolescentes. Al no tener un aparato fijo en el paladar, la adaptación suele ser más rápida y el impacto en el habla y la alimentación es menor.
4. Control clínico continuo. La plataforma digital de Invisalign permite monitorizar el avance del tratamiento y ajustar la planificación si el caso lo requiere.
Quién es candidato al expansor palatino Invisalign
No todos los casos de paladar estrecho son candidatos a este sistema. El expansor palatino Invisalign está indicado principalmente en pacientes en crecimiento activo —generalmente entre los 7 y los 14 años— donde la sutura palatina aún responde al tratamiento ortopédico.
El primer paso es siempre una valoración completa. No se puede determinar si un caso es candidato sin exploración clínica y registros radiológicos.
¿Quieres saber si tu hijo es candidato al expansor palatino Invisalign?
Pide cita en nuestra clínica de Teatinos, Málaga, y te explicamos las opciones que encajan con su caso.
Cómo se integra en el tratamiento con Invisalign First
El expansor palatino Invisalign se integra habitualmente dentro del sistema Invisalign First, diseñado específicamente para tratar a niños en dentición mixta. Este sistema permite abordar la expansión del paladar al mismo tiempo que se trabaja la alineación dental, en un único tratamiento coordinado.
En Dentinos utilizamos Invisalign First para casos de ortodoncia infantil en Málaga que combinan paladar estrecho con apiñamiento o maloclusión.
Por qué actuar durante el crecimiento marca la diferencia
La expansión palatina —con disyuntor o con expansor palatino Invisalign— funciona mejor cuando la sutura palatina todavía está activa. Eso ocurre durante el crecimiento, generalmente hasta los 14-16 años dependiendo del paciente.
Después de esa etapa, la sutura se va cerrando progresivamente. En adultos, la corrección del paladar estrecho sin cirugía es más limitada. Por eso la detección temprana tiene valor real: no para precipitar ningún tratamiento, sino para tener opciones.
¿Tu hijo tiene el paladar estrecho y quieres explorar la alternativa digital al disyuntor?
Reserva una teleconsulta gratuita y la Dra. Ana Fernández-Cavada valora si es candidato sin que tengas que desplazarte.
Preguntas frecuentes sobre el expansor palatino Invisalign
¿Qué es el expansor palatino Invisalign y en qué se diferencia del disyuntor?
El expansor palatino Invisalign amplía el maxilar superior mediante alineadores transparentes, sin aparato metálico fijo en el paladar. El disyuntor tradicional es un aparato cementado que no se puede quitar. El resultado clínico es similar, pero la comodidad y la higiene mejoran con la versión digital.
¿A qué edad se puede hacer el expansor palatino con Invisalign?
Está indicado principalmente en pacientes en crecimiento activo, generalmente entre los 7 y los 14 años. En esta etapa la sutura palatina responde mejor al tratamiento ortopédico. La valoración clínica determinará si el caso es candidato y cuál es el momento adecuado.
¿El expansor palatino Invisalign duele?
Los primeros días con cada nuevo alineador puede haber sensación de presión o molestia leve. Al ser extraíble, la adaptación suele ser más llevadera que con el disyuntor fijo.
¿Se puede usar el expansor palatino Invisalign en adultos?
En adultos la sutura palatina está más cerrada y la expansión ortopédica es más limitada. Según el caso, puede combinarse con otras herramientas. La valoración clínica determinará qué opciones son viables.
¿El expansor palatino Invisalign sustituye siempre al disyuntor?
No en todos los casos. Hay maloclusiones complejas o grados de contracción maxilar severos donde el disyuntor sigue siendo la herramienta más adecuada. La decisión depende del diagnóstico individual, no de una preferencia estética.
¿Empezamos por una primera visita?
Hacemos una valoración completa y definimos el siguiente paso contigo.
¿Prefieres WhatsApp o llamada? Llámanos al 649 989 506 o al 951 93 53 78 o escríbenos un Whatsapp al 649 989 506
